<<
>>

ЭМФИЗЕМА ЛЕГКИХ - EMPHYSEMA PULMONUM

  Эмфизема в переводе с греческого языка означает «раздутие», «вздутие». Болезнь определяется как патологическое расширение легких, сопровождающееся увеличением их объема вследствие переполнения воздухом и снижением или потерей эластичности легочной ткани.
Бывает она альвеолярной, когда легкие расширяются за счет альвеолярной ткани (альвеол) и интерстициальной, при которой воздух проникает и накапливается в междольчатой соединительной ткани, по течению — острая и хроническая, по происхождению — первичная и вторичная, а по локализации — ограниченная и диффузная. Встречается повсеместно и у животных всех видов, но чаще у спортивных и выполняющих тяжелую работу лошадей, охотничьих и часто лающих собак, высокопродуктивных коров. Более распространена альвеолярная эмфизема (ср. рис. 89, 90).

Этиология. Альвеолярная эмфизема возникает вследствие быстрых аллю- ров, тяжелой работы, высокого уровня обменных процессов в организме, особенно у высокопродуктивных молочных коров, при микробронхите, пневмо-

.

ниях, бронхостенозах (бронхиальная астма). Причиной интерстициальной эмфиземы являются попадания вдыхаемого воздуха в междольковую ткань (пространство) после разрыва бронхов или образования каверн, причиной чему обычно бывают чрезмерные физические нагрузки. У крупного рогатого скота она может возникать при травме легких инородными (чаще металлическими) предметами, проникающими из преджелудков.

 

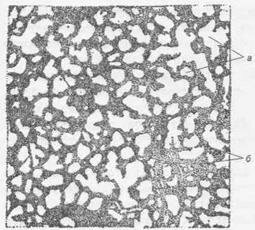
   Рис. 89 Нормальная легочная ткань у лошади а — альвеолы; б — стенки альвеол.  

 

   Рис. 89 Нормальная легочная ткань у лошади а — альвеолы; б — стенки альвеол.

 

    

   Рис.<div class=

90 Легочная ткань при эмфиземе легких у лошади а — атрофия стенок альвеол; б — полости, образовавшиеся вследствие атрофии стенок альвеол и наполненные воздухом " />

 

   Рис. 90 Легочная ткань при эмфиземе легких у лошади а — атрофия стенок альвеол; б — полости, образовавшиеся вследствие атрофии стенок альвеол и наполненные воздухом 

  

Патогенез. В основе возникновения эмфиземы легких на фоне приведенных причинных факторов лежит то физиологическое обстоятельство, что при осуществлении дыхания акт вдоха является активным, а акт выдоха пассивным. В обычных условиях объем вдыхаемого и выдыхаемого воздуха приблизительно одинаковы, поэтому для вдыхания его достаточно и пассивных движений дыхательного аппарата. При повышениях физических нагрузок воздуха в легкие за определенную единицу времени поступает больше, чем в норме, и вдыхается он без особого препятствия (нагнетается). Вследствие этого при каждом последующем акте дыхания количество остаточного воздуха в легких последовательно увеличивается, и таким образом альвеолы переполняются воздухом, растягиваются, эластичность их снижается, что является дополнительным фактором, затрудняющим выход воздуха из альвеол.

В результате, чем больше нагрузок на животное, тем интенсивнее (тяжелее) этот процесс. Избыточный воздух сдавливает кровеносные сосуды, нервные и мышечные волокна альвеол, в результате чего происходит их атрофия, парез, разрыв с последующими нарушениями функционирования легких, сопровождающимися явлениями гипоксии в организме со всеми вытекающими отсюда обычно тяжелыми ^следствиями со стороны различных органов и систем.

В случаях диффузного бронхита и бронхостеноза, лимитирующим обстоятельством по освобождению легких от воздуха и, таким образом, их переполнение им, является уменьшение их диаметра, когда при активном вдохе воздух проходит в легкие в большем объеме, чем при пассивном выдохе выходит из них.

Интерстициальная эмфизема возникает вследствие разрыва легочной ткани, раневых и других повреждений, воздух распространяется по периброн- хиальным путям и сосудистым ветвям, проникает к корням легких и выходит под кожу шейной и грудной области и может доходить до ягодичного расположения.

Вследствие сдавливания альвеол может быстро наступить асфиксия животных.

Симптомы. Наиболее характерными являются быстрая утомляемость, снижение работоспособности, продуктивности, учащение сердечной деятельности, одышка. Хроническое течение болезни сопровождается кашлем, хрипами, жестким везикулярным дыханием. Кроме того, при эмфиземе наблюдается расширение ноздрей, выдыхательная одышка, брюшной тип дыхания, запа- дение межреберных промежутков, появление на границе грудной группы мышц западения, называемого запальным желобом, выпячивание и втягивание ануса (игра анусом), осуществляющееся синхронно актам дыхания.

Хотя при этой болезни имеет место напряженное дыхание, выдыхаемая струя воздуха слабая. Аускультацией устанавливают ослабление везикулярного дыхания, сердечного толчка, усиление диастолических тонов сердца, учащение пульса. При физической нагрузке эти симптомы усиливаются. Перкуссией легочного поля обнаруживается громкий коробочный звук и смещение задней границы легких на 1-4 межреберных промежутка в каудальном направлении.

Интерстициальная эмфизема сопровождается чаще острым течением. При ней у животных резко ухудшается общее состояние с нарастающими признаками асфиксии, одышки, цианоза слизистых оболочек, сердечно-сосудистой недостаточностью. Аускультацией легких определяются мелкопузырчатые хрипы и крепитация. В области шеи, груди, а часто спины и крупа при пальпации обнаруживают подкожную эмфизему воздушного происхождения.

Патоморфологические изменения. Наиболее характерными являются увеличение легких в объеме и закругленность краев. На их поверхности определяются контуры от реберных сдавливаний, которые аномичны, на разрезе не спадаются (рис. 91). При гистологических исследованиях устанавливают различной величины полости, образовавшиеся в результате разрывов альвеол, атрофию и истончение перегородок, запустение капилляров.

Диагноз и дифференциальный диагноз. Ставятся на основании анамнестических данных, клинических симптомов и специальных методов исследований. Важные результаты дает рентгенологическое исследование, при котором устанавливают наличие просветления легочного поля в эмфизематозных участках легких, контрастирование (усиление) структуры бронхиального дерева, смещение назад границы легких и купола диафрагмы. При эмфиземе, обусловленной пневмонией (викарной) и бронхитом, могут иметь место увеличение числа эритроцитов, показателей гемоглобина, наличие эозинофилии и моноцитоза.

 

   Рис. 91 Перемещение каудо-вентральной границы легких при хронической альвеолярной эмфиземе легких  

 

   Рис. 91

Перемещение каудо-вентральной границы легких при хронической альвеолярной эмфиземе легких

 

  

При дифференциации болезни исключают пневмонии, плеврит, гидроторакс, пневмоторакс по характерным для них клиническим симптомам и другим показаниям.

Прогноз. Острая альвеолярная эмфизема легких после устранения причин, вызвавших ее, быстро проходит, и животные выздоравливают. Хроническая — длится месяцами и даже годами. Интерстициальная эмфизема сопровождается прогрессирующей недостаточностью дыхания, и если самопроизвольно или путем вмешательства не устраняется дефект в легких (что бывает очень редко), то это завершается гибелью животного в течение нескольких часов.

Лечение. Осуществляется комплексно. Животных, больных острой эмфиземой, освобождают от работы и создают им хорошие условия кормления и содержания. Назначают отхаркивающие препараты, ингаляцию (см. Бронхит). Для расширения бронхов подкожно вводят растворы сульфата атропина, эфедрина хлористоводородного, эуфиллина, применяют бронхолитин, сердечные препараты и другие средства в соответствующих концентрациях и дозах для каждого вида животных. В случаях аллергического происхождения эмфиземы рекомендуются хлорид кальция, бромид натрия или калия, новокаин, аминазин, пропазин, супрастин, тавегил, пипольфен.

Животных, больных интерстициальной эмфиземой легких, лечат так же, как и при острой альвеолярной эмфиземе. Лечение направлено, в основном, на устранение и смягчение кашля и, таким образом, предотвращение дальнейшего проникновения воздуха в междольковое пространство легких и нормализацию функционирования сердечно-сосудистой системы.

Профилактика. Состоит в предотвращении причин, вызывающих эмфизему, а также в лечении животных от основных болезней, которые привели к эмфиземе легких.

 

<< | >>
Источник: Г. Г. Щербаков, А. В. Коробов. Внутренние болезни животных — СПб.: Издательство «Лань»,— 736 с.— О-геоники для вузов. Специальная литература).. 2003

Еще по теме ЭМФИЗЕМА ЛЕГКИХ - EMPHYSEMA PULMONUM:

  1. БОЛЕЗНИ ЛЕГКИХ ГИПЕРЕМИЯ И ОТЕК ЛЕГКИХ - HYPERAEMIA ET OEDEMA PULMONUM
  2. Эмфизема легких
  3. БОЛЕЗНИ ЛЕГКИХ Бронхит (Bronchitis)
  4. Отек легких.
  5. ИЗМЕРЕНИЕ КОНЦЕНТРАЦИИ ЛЕГКИХ, СРЕДНИХ и ТЯЖЕЛЫХ АЭРОИОНОВ
  6. ГЛАВА СЕДЬМАЯ Кровь проходит из правого желудочка через паренхиму легких в легочную вену и левый желудочек
  7. ПНЕВМОНИИ - PNEUMONIAE
  8. ЛЕГОЧНЫЙ АДЕНОМАТОЗ ОВЕЦ
  9. Клиника и патологоанатомические изменения
  10. Асфиксия новорожденных.
  11. ГИДРОТОРАКС (ГРУДНАЯ ВОДЯНКА) - HYDROTHORAX
  12. Производные других химических соединений
  13. МИОКАРДИОДИСТРОФИЯ (МИОКАРДОЗ) - MYOCARDIODYSTROPH1A (MYOCARDOSIS)
  14. БОЛЕЗНИ ДЫХАТЕЛЬНОЙ СИСТЕМЫ
  15. Экспертиза заболеваний и гибели животных от неправильной эксплуатации.
  16. РЕСПИРАТОРНО-СИНЦИТИАЛЬНАЯ ИНФЕКЦИЯ КРУПНОГО РОГАТОГО СКОТА Respiratory Syncitial Virus Infectious
  17. ГИПЕРЕМИЯ ГОЛОВНОГО МОЗГА И ЕГО ОБОЛОЧЕК - HYPEREMIA CEREBRA ET MENINGUM
  18. БОЛЕЗНИ ОРГАНОВ ДЫХАТЕЛЬНОЙ СИСТЕМЫ
  19. Легкие
  20. Энзоотическая пневмония
- Болезни домашних и c/х животных - Заболевания диких животных - Заболевания и лечение грызунов - Заболевания и лечение лошадей - Заболевания и лечение свиней - Лечение кожных заболеваний животных - Справочники по лечению животных -
- Биология - Ветеринария - Взаимоотношения животных - Все животные - Геология - Зоопсихология - Коровы - Кошки - Лечение животных - Лошади - Насекомые - Науки о Земле - Опасные растения и животные - Растительный мир - Редкие животные - Сельское хозяйство - Собаки - Экология -